Sure Smile Doctor Login
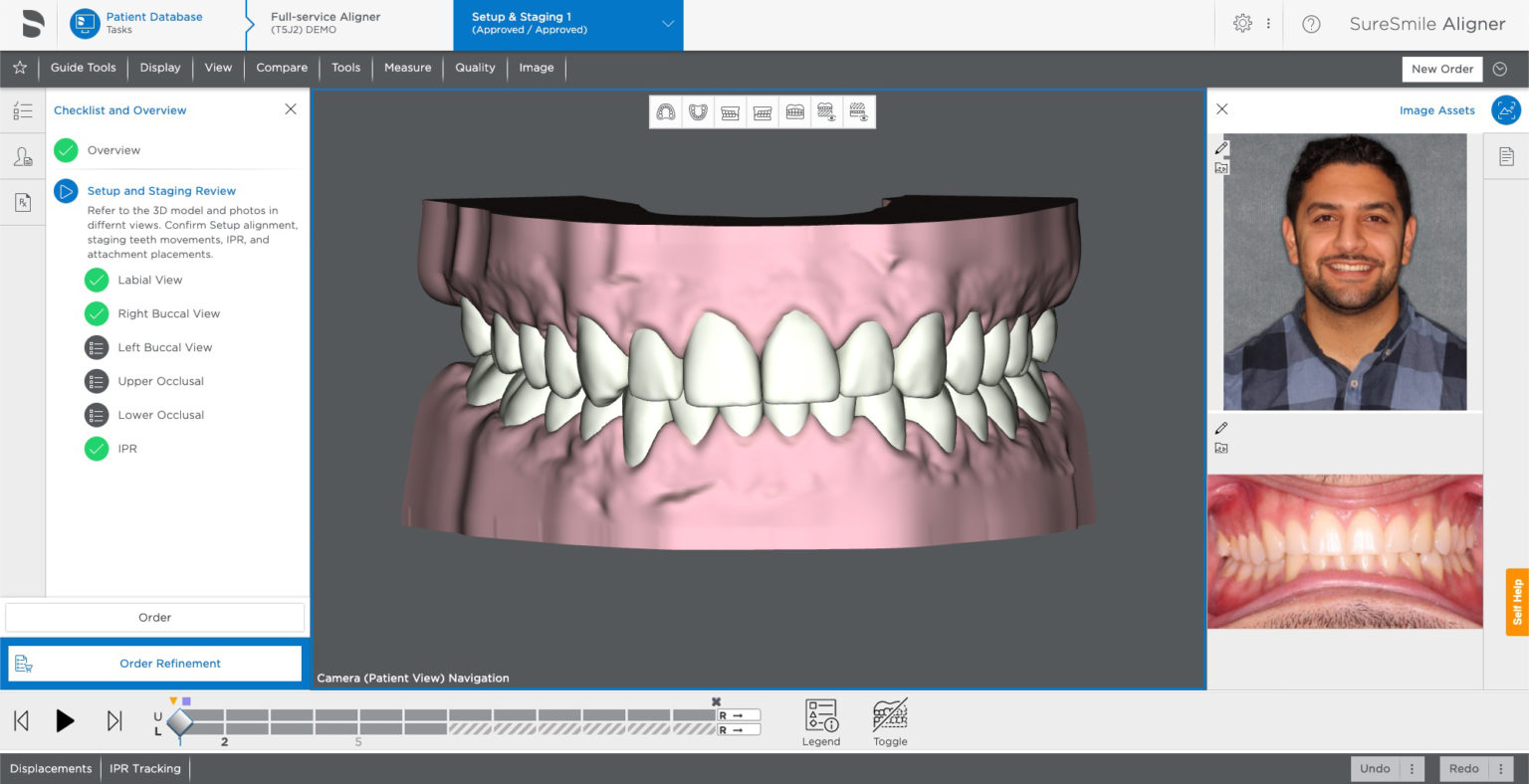
Sure Smile Doctor Login - After you log into suresmile, the welcome screen lists all of the practices that you can access. Register to become a provider by creating a suresmile ® aligner account. Please enter your email address. Please allow up to 48 business. You will fill out your information, practice information, and pay the registration fee. The man who fought for all this was gold roger, king of the pirates. Efficient workflows can save time we've distilled the. Please log in again using the form below. Be sure with suresmile® as a suresmile ® aligner provider, you will receive expert support tailored to your practice goals. Access your personal dashboard, edit member details, or tweak subscription settings. After you log into suresmile, the welcome screen lists all of the practices that you can access. Be sure with suresmile® as a suresmile ® aligner provider, you will receive expert support tailored to your practice goals. Access your personal dashboard, edit member details, or tweak subscription settings. At the top of the clinic overview page, you may see an announcement bar that contains. You will fill out your information, practice information, and pay the registration fee. Please log in again using the form below. From smile simulations 0 to discussion guides, we give you the tools to educate and excite patients about the benefits of suresmile. Complete our online onboarding program with the suresmileu. Register to become a provider by creating a suresmile ® aligner account. Please enter your email address. Efficient workflows can save time we've distilled the. From smile simulations 0 to discussion guides, we give you the tools to educate and excite patients about the benefits of suresmile. Complete our online onboarding program with the suresmileu. Find out more about orthodontics from dentsply sirona and request information on suresmile, essix and other products. Please enter your email address. Suresmile supports you and your patients throughout the patient. At the top of the clinic overview page, you may see an announcement bar that contains. Be sure with suresmile® as a suresmile ® aligner provider, you will receive expert support tailored to your practice goals. Efficient workflows can save time we've distilled the. Complete our online onboarding program with the. Efficient workflows can save time we've distilled the. The man who fought for all this was gold roger, king of the pirates. You will fill out your information, practice information, and pay the registration fee. Find out how to verify your email address and exit suresmile safely. From smile simulations 0 to discussion guides, we give you the tools to. We will send you an email with a temporary link allowing you to choose a new password. Find out more about orthodontics from dentsply sirona and request information on suresmile, essix and other products. Complete our online onboarding program with the suresmileu. Suresmile treatment planning software provides virtual simulation tools that allow your doctor to determine the final position of. Access your personal dashboard, edit member details, or tweak subscription settings. At the top of the clinic overview page, you may see an announcement bar that contains. We will send you an email with a temporary link allowing you to choose a new password. Suresmile treatment planning software provides virtual simulation tools that allow your doctor to determine the final. From smile simulations 0 to discussion guides, we give you the tools to educate and excite patients about the benefits of suresmile. Please enter your email address. Suresmile supports you and your patients throughout the patient. Suresmile treatment planning software provides virtual simulation tools that allow your doctor to determine the final position of your teeth and define the most. Please log in again using the form below. Be sure with suresmile® as a suresmile ® aligner provider, you will receive expert support tailored to your practice goals. We will send you an email with a temporary link allowing you to choose a new password. At the top of the clinic overview page, you may see an announcement bar that. The man who fought for all this was gold roger, king of the pirates. Find out how to verify your email address and exit suresmile safely. Access your personal dashboard, edit member details, or tweak subscription settings. Please enter your email address. Suresmile supports you and your patients throughout the patient. The man who fought for all this was gold roger, king of the pirates. Please enter your email address. Access your personal dashboard, edit member details, or tweak subscription settings. Find out how to verify your email address and exit suresmile safely. Be sure with suresmile® as a suresmile ® aligner provider, you will receive expert support tailored to your. Access your personal dashboard, edit member details, or tweak subscription settings. Suresmile supports you and your patients throughout the patient. You will fill out your information, practice information, and pay the registration fee. Be sure with suresmile® as a suresmile ® aligner provider, you will receive expert support tailored to your practice goals. At the top of the clinic overview. Please log in again using the form below. At the top of the clinic overview page, you may see an announcement bar that contains. Access your personal dashboard, edit member details, or tweak subscription settings. After you log into suresmile, the welcome screen lists all of the practices that you can access. Register to become a provider by creating a suresmile ® aligner account. Be sure with suresmile® as a suresmile ® aligner provider, you will receive expert support tailored to your practice goals. You will fill out your information, practice information, and pay the registration fee. We will send you an email with a temporary link allowing you to choose a new password. Complete our online onboarding program with the suresmileu. Suresmile treatment planning software provides virtual simulation tools that allow your doctor to determine the final position of your teeth and define the most effective plan for your unique. Please allow up to 48 business. Suresmile supports you and your patients throughout the patient. Please enter your email address. Efficient workflows can save time we've distilled the.The SureSmile® System Dentsply Sirona USA
SureSmile Aligners Dr Michael Frain Ltd
Dentsply Sirona Announces Updated Content on its SureSmileU Orthodontic Learning Platform
SureSmile Dr. Jon DDS
SureSmile Downloads Dentsply Sirona USA USA
SureSmile Clear Aligners For Straighter Teeth Haid Dental
SureSmile Downloads Dentsply Sirona USA USA
SureSmile Software 7.6 More Options for Individual Treatment Preferences, More Control for
SureSmile Clinician Resources SureSmile UK
SureSmile System Explore our products SureSmile
Find Out How To Verify Your Email Address And Exit Suresmile Safely.
The Man Who Fought For All This Was Gold Roger, King Of The Pirates.
From Smile Simulations 0 To Discussion Guides, We Give You The Tools To Educate And Excite Patients About The Benefits Of Suresmile.
Find Out More About Orthodontics From Dentsply Sirona And Request Information On Suresmile, Essix And Other Products.
Related Post:







